傍脊椎ブロックの進化形?・・・Retrolaminar block
Retrolaminar blockは、2013年のAnaesthesiaに報告されたブロックです(68: 640-54)。
意外と知られていないのですが
傍脊椎ブロックの進化版と言ってもいいのではないでしょうか?
傍脊椎ブロックは、下図で示す三角柱のような形で表現される
傍脊椎腔に局所麻酔薬を注入します。

片側の硬膜外麻酔のように作用し、非常に鎮痛効果も高く
血圧低下などの副作用も少ないブロックです。
しかし、気胸などの合併症があるうえ、手技が難しく玄人向けという感じです。
さて、Retrolaminar blockはどういったものかというと
わざわざ、傍脊椎腔に針をいれなくても良いよ!・・・と言っているわけです。
下図はCan J Anesth 2013; 60: 888-95からとってきました。

椎弓板のところで局所麻酔薬を注入すれば良いということなのです。
椎弓板のところで注入された薬剤は、傍脊椎腔まで広がっていき作用するというのです。
つまり、そこら辺というのはかなり疎な構造であり、穴ぼこがポコポコあいていて
傍脊椎腔まで薬剤が浸潤するということです。
ホントかっ!!!?
そんなに簡単なことなのか?
いままでやっていた傍脊椎ブロックはなんだったんだ?
と言いたくなりますが
実際やってみてください。
効きます!
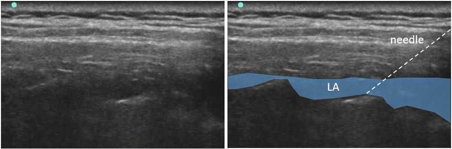
実際のエコー画像をお見せします。
下図は、背部正中線から約1.5cm外側で、脊椎に平行にプローブを当てたものです。

白く光ってみえるのが椎弓版のところです。
平行法で針をすすめ、0.375%ロピバカイン30mLを注入したのが次の図です。

針の向こうは骨ですから、気胸などの合併症を気にすることはありません。
背部正中線から1.5cmですから、ブラインドでも比較的安全に施行できます。
さらに、カテーテルも挿入できます。
こんな簡単に傍脊椎ブロックとほぼ同等の効果が得られる(?)なら最高ですね!
<追記です>
筆者の個人的な感想ですが、
レトロラミナブロックの効果範囲は狭く、持続時間も傍脊椎ブロックに比べて短いように感じます。
これはあくまで手術麻酔時です。
手術麻酔では、Erector spinae plane block(→ESPブロックのページ)を選択する方が
良い効果が得られるように感じます。
しかし、ペインクリニックなど手術麻酔以外ではレトロラミナブロックもかなり良い効果が得られたりしています。
エコーも使わず、カテラン針でラミナに針を当てて
注入するだけでも良いのですから簡単でいいですよね。
手術麻酔に用いると
例えば、乳房手術でレトロラミナブロックでは、
手術創のすべてをカバーできず、
目が覚めてから痛がったり・・・ということを経験したりするのですが
逆に、全身麻酔のみで行った症例で、鎮痛が足らず
抜管後に悶絶した患者に対して
レトロラミナブロックを、盲目的に行ったところ
数分で痛みが消え
静かに帰室していった症例も経験しました。
非常に広範囲の鎮痛が得られるESPブロックが出現したいま
レトロラミナや、傍脊椎ブロックでさえも
ESPの勢いに圧倒されていくのでは・・・と考える今日このごろ。
しかし、レトロラミナブロックはその簡便性や汎用性の高さから
知っておくと便利だと思います。
役立つリンク集
関連ページ
- TAPAブロック
- 成書『あっという間にうまくなる 神経ブロック上達術』とリンクしたサイトであり、同書で紹介されている末梢神経ブロックに関して動画・画像や補足事項を紹介します。
- 腰方形筋ブロック 1&2
- 成書『あっという間にうまくなる 神経ブロック上達術』とリンクしたサイトであり、同書で紹介されている末梢神経ブロックに関して動画・画像や補足事項を紹介します。
- 腰方形筋ブロック 3
- 成書『あっという間にうまくなる 神経ブロック上達術』とリンクしたサイトであり、同書で紹介されている末梢神経ブロックに関して動画・画像や補足事項を紹介します。
- 腰方形筋ブロック 4&5
- 成書『あっという間にうまくなる 神経ブロック上達術』とリンクしたサイトであり、同書で紹介されている末梢神経ブロックに関して動画・画像や補足事項を紹介します。
- 腰方形筋ブロック 5詳細
- 成書『あっという間にうまくなる 神経ブロック上達術』とリンクしたサイトであり、同書で紹介されている末梢神経ブロックに関して動画・画像や補足事項を紹介します。
- 腰方形筋ブロック:本当に効くのか?(1)
- 成書『あっという間にうまくなる 神経ブロック上達術』とリンクしたサイトであり、同書で紹介されている末梢神経ブロックに関して動画・画像や補足事項を紹介します。
- 腰方形筋ブロック:本当に効くのか?(2)
- 成書『あっという間にうまくなる 神経ブロック上達術』とリンクしたサイトであり、同書で紹介されている末梢神経ブロックに関して動画・画像や補足事項を紹介します。
- 腰方形筋ブロック:本当に効くのか?(3)
- 成書『あっという間にうまくなる 神経ブロック上達術』とリンクしたサイトであり、同書で紹介されている末梢神経ブロックに関して動画・画像や補足事項を紹介します。
- 傍脊椎ブロック/持続カテーテル留置
- 成書『あっという間にうまくなる 神経ブロック上達術』とリンクしたサイトであり、同書で紹介されている末梢神経ブロックに関して動画・画像や補足事項を紹介します。
- 傍脊椎腔はどこまで広がっているのか
- 成書『あっという間にうまくなる 神経ブロック上達術』とリンクしたサイトであり、同書で紹介されている末梢神経ブロックに関して動画・画像や補足事項を紹介します。
- 腰神経叢ブロック
- 成書『あっという間にうまくなる 神経ブロック上達術』とリンクしたサイトであり、同書で紹介されている末梢神経ブロックに関して動画・画像や補足事項を紹介します。
- 持続腹直筋鞘ブロック
- 成書『あっという間にうまくなる 神経ブロック上達術』とリンクしたサイトであり、同書で紹介されている末梢神経ブロックに関して動画・画像や補足事項を紹介します。
- Serratus-intercostal plane block
- 成書『あっという間にうまくなる 神経ブロック上達術』とリンクしたサイトであり、同書で紹介されている末梢神経ブロックに関して動画・画像や補足事項を紹介します。
- PECS II ブロック
- 成書『あっという間にうまくなる 神経ブロック上達術』とリンクしたサイトであり、同書で紹介されている末梢神経ブロックに関して動画・画像や補足事項を紹介します。
- Serratus plane block
- 成書『あっという間にうまくなる 神経ブロック上達術』とリンクしたサイトであり、同書で紹介されている末梢神経ブロックに関して動画・画像や補足事項を紹介します。
- Erector Spinae Plane Block
- 成書『あっという間にうまくなる 神経ブロック上達術』とリンクしたサイトであり、同書で紹介されている末梢神経ブロックに関して動画・画像や補足事項を紹介します。
- Erector Spinae Plane Block (2)
- 成書『あっという間にうまくなる 神経ブロック上達術』とリンクしたサイトであり、同書で紹介されている末梢神経ブロックに関して動画・画像や補足事項を紹介します。
- 傍胸骨で行うブロックあれこれ
- 成書『あっという間にうまくなる 神経ブロック上達術』とリンクしたサイトであり、同書で紹介されている末梢神経ブロックに関して動画・画像や補足事項を紹介します。
