傍脊椎ブロックは、胸部〜腹部にかけて強力な鎮痛効果をもたらすブロックです。
傍脊椎ブロック、傍脊椎腔・・・何気なく使っている言葉ですが
実際のところ、傍脊椎腔はどのような空間でしょうか?
傍脊椎腔はコンパートメントだと思っていませんか?
実は、傍脊椎腔はとても広い空間の
その空間の端っこの部分にすぎないと、考えたことがあったでしょうか?
傍脊椎腔は、前方を壁側胸膜、内側を椎体側面、後方を上肋横突靭帯で囲まれた
三角形の構造として表されます。

しかし、その外側は・・・
胸腔にむかって口をあけています。
もちろん、臓側胸膜が胸腔にくっついていますが
その結合はタイトではなく、隙間があります。
Cadaverで胸膜を剥いだ経験がある方はわかりますが
パリパリパリ・・・・と綺麗に剥げます。
胸腔(最内肋間筋/膜)とは荒い結合織でくっついており
その空間はとても弾力に富んでいます。
つまり、とっても広い胸腔の・・・後ろの端っこが傍脊椎腔という名前になっているだけです。
さて、その空間の広がりですが
実は最近、傍脊椎腔の後方を形成している上肋横突靭帯はとても疎な構造であって
傍脊椎腔(PVS)まで針を進めなくても
上肋横突靭帯(SCTL)の外側で薬液を注入すれば
傍脊椎ブロックになることが示されました。

Mid-point transverse process to pleura (MTP) blockという名前で
Anaesthesia(2017, 72, 1230-6)に出ました。
傍脊椎腔は、ぱっと見は三角形の構造ですが
後ろ側は靭帯を越えて広がりうる構造だということです。
さて、話を傍脊椎腔の外側方向に戻しましょう。
傍脊椎腔は区切られた空間だと妄信されていることが多いですが
先ほど述べたように、外側方向は胸腔(壁側胸膜と胸腔の間=胸膜外腔)へつながっています。
逆に考えると
傍脊椎ブロックは、傍脊椎腔に針をささなくても
例えば、肩甲骨の辺りであろうが、腋窩の辺りでであろうが
胸膜外腔に薬液をいれてやれば、傍脊椎ブロックになります。
実はこれJournal of ○○○ にだいぶ前に投稿したのですが
「そんなわけないだろ」で一蹴されたことがありました。
ヨーロッパ系の別のジャーナルに出したところ
「当たり前だろ」と一蹴されました。
『傍脊椎腔』というものに対する認識がこうまで違うのかと感じたものです。
結局、手を変え品を変え、赤臨麻に静かに載せています(2016: 1435-8)。

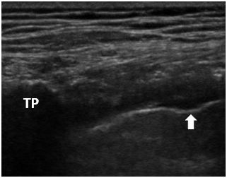
赤臨麻の図です。
傍脊椎腔に針をささなくても、
その延長上で注入すれば(図の矢印)
傍脊椎腔まで薬液が達します。
実は、似たような手法に
Interpleural blockというものが2000年代初頭にあったのですが
これは、臓側胸膜と壁側胸膜の間に局所麻酔薬を打つという
とてもトリッキーな物です。
しかし、当時はエコーをつかわず
様々なブラインド法で行われており
実はその多くが、interpleuralではなくextrapleural(≒paravertebral)ブロックだったのではないかと
筆者は思っています。
さて、さらに傍脊椎腔の広がりについて掘り進めます。
実は、最内肋間筋や最内肋間膜も、とても疎な構造であり
薬液を透過します。
これはこの間、JA Clin Repに出しました(2018; 4: 65)。
肋間神経ブロックも傍脊椎ブロックになってしまうのです!

これは、JA Clin Rep(2018; 4: 65)に使った写真です。
肋間神経ブロックとして10mLの色素を注入したところです。
わかりやすいように10mL使っていますが
もっと少ない量でも同様な結果になるはずです。
わずか1mL注入するだけでも、薬液はextraplerural spaceに染み出してきます。
extrapleural spaceに達した薬液は重力に従って移動するので
体位次第で傍脊椎腔まで達します。
外来や手術で、肋間神経ブロックがものすごく良く効いたっていう経験ないでしょうか。
肋間神経ブロックは、やりようによっては傍脊椎ブロックになるのですから
当然なのです。
怖い報告もあります。
肋間神経ブロックをしたら、全脊麻になったとか
フェノールを用いて肋間神経破壊術をしたら、脊髄損傷を起こしたという症例報告が
世の中には存在します。
肋間神経をターゲットにしたはずが
薬液が傍脊椎腔へ浸潤し
腫瘍や硬膜のわずかなキズなど
何か別の原因の存在によって
薬液が脊髄にまで達してしまったと考えられます。
傍脊椎腔の広がり・・・傍脊椎腔に関連する腔の広がりを
考えていくと
肋間神経ブロックって、実はとても危ない手技だったんだという事がわかります。
『傍脊椎腔』
実は、三角形では表すことのできない
とても広がりのある空間なのです。
役立つリンク集
関連ページ
- TAPAブロック
- 成書『あっという間にうまくなる 神経ブロック上達術』とリンクしたサイトであり、同書で紹介されている末梢神経ブロックに関して動画・画像や補足事項を紹介します。
- 腰方形筋ブロック 1&2
- 成書『あっという間にうまくなる 神経ブロック上達術』とリンクしたサイトであり、同書で紹介されている末梢神経ブロックに関して動画・画像や補足事項を紹介します。
- 腰方形筋ブロック 3
- 成書『あっという間にうまくなる 神経ブロック上達術』とリンクしたサイトであり、同書で紹介されている末梢神経ブロックに関して動画・画像や補足事項を紹介します。
- 腰方形筋ブロック 4&5
- 成書『あっという間にうまくなる 神経ブロック上達術』とリンクしたサイトであり、同書で紹介されている末梢神経ブロックに関して動画・画像や補足事項を紹介します。
- 腰方形筋ブロック 5詳細
- 成書『あっという間にうまくなる 神経ブロック上達術』とリンクしたサイトであり、同書で紹介されている末梢神経ブロックに関して動画・画像や補足事項を紹介します。
- 腰方形筋ブロック:本当に効くのか?(1)
- 成書『あっという間にうまくなる 神経ブロック上達術』とリンクしたサイトであり、同書で紹介されている末梢神経ブロックに関して動画・画像や補足事項を紹介します。
- 腰方形筋ブロック:本当に効くのか?(2)
- 成書『あっという間にうまくなる 神経ブロック上達術』とリンクしたサイトであり、同書で紹介されている末梢神経ブロックに関して動画・画像や補足事項を紹介します。
- 腰方形筋ブロック:本当に効くのか?(3)
- 成書『あっという間にうまくなる 神経ブロック上達術』とリンクしたサイトであり、同書で紹介されている末梢神経ブロックに関して動画・画像や補足事項を紹介します。
- 傍脊椎ブロック/持続カテーテル留置
- 成書『あっという間にうまくなる 神経ブロック上達術』とリンクしたサイトであり、同書で紹介されている末梢神経ブロックに関して動画・画像や補足事項を紹介します。
- 傍脊椎ブロックの進化形?・・・Retrolaminar block
- 成書『あっという間にうまくなる 神経ブロック上達術』とリンクしたサイトであり、同書で紹介されている末梢神経ブロックに関して動画・画像や補足事項を紹介します。
- 腰神経叢ブロック
- 成書『あっという間にうまくなる 神経ブロック上達術』とリンクしたサイトであり、同書で紹介されている末梢神経ブロックに関して動画・画像や補足事項を紹介します。
- 持続腹直筋鞘ブロック
- 成書『あっという間にうまくなる 神経ブロック上達術』とリンクしたサイトであり、同書で紹介されている末梢神経ブロックに関して動画・画像や補足事項を紹介します。
- Serratus-intercostal plane block
- 成書『あっという間にうまくなる 神経ブロック上達術』とリンクしたサイトであり、同書で紹介されている末梢神経ブロックに関して動画・画像や補足事項を紹介します。
- PECS II ブロック
- 成書『あっという間にうまくなる 神経ブロック上達術』とリンクしたサイトであり、同書で紹介されている末梢神経ブロックに関して動画・画像や補足事項を紹介します。
- Serratus plane block
- 成書『あっという間にうまくなる 神経ブロック上達術』とリンクしたサイトであり、同書で紹介されている末梢神経ブロックに関して動画・画像や補足事項を紹介します。
- Erector Spinae Plane Block
- 成書『あっという間にうまくなる 神経ブロック上達術』とリンクしたサイトであり、同書で紹介されている末梢神経ブロックに関して動画・画像や補足事項を紹介します。
- Erector Spinae Plane Block (2)
- 成書『あっという間にうまくなる 神経ブロック上達術』とリンクしたサイトであり、同書で紹介されている末梢神経ブロックに関して動画・画像や補足事項を紹介します。
- 傍胸骨で行うブロックあれこれ
- 成書『あっという間にうまくなる 神経ブロック上達術』とリンクしたサイトであり、同書で紹介されている末梢神経ブロックに関して動画・画像や補足事項を紹介します。
